いなば歯科はできる限り自分の歯を残す治療を心がけております。

INABA DENTAL OFFICE いなば歯科

いなば歯科の治療について

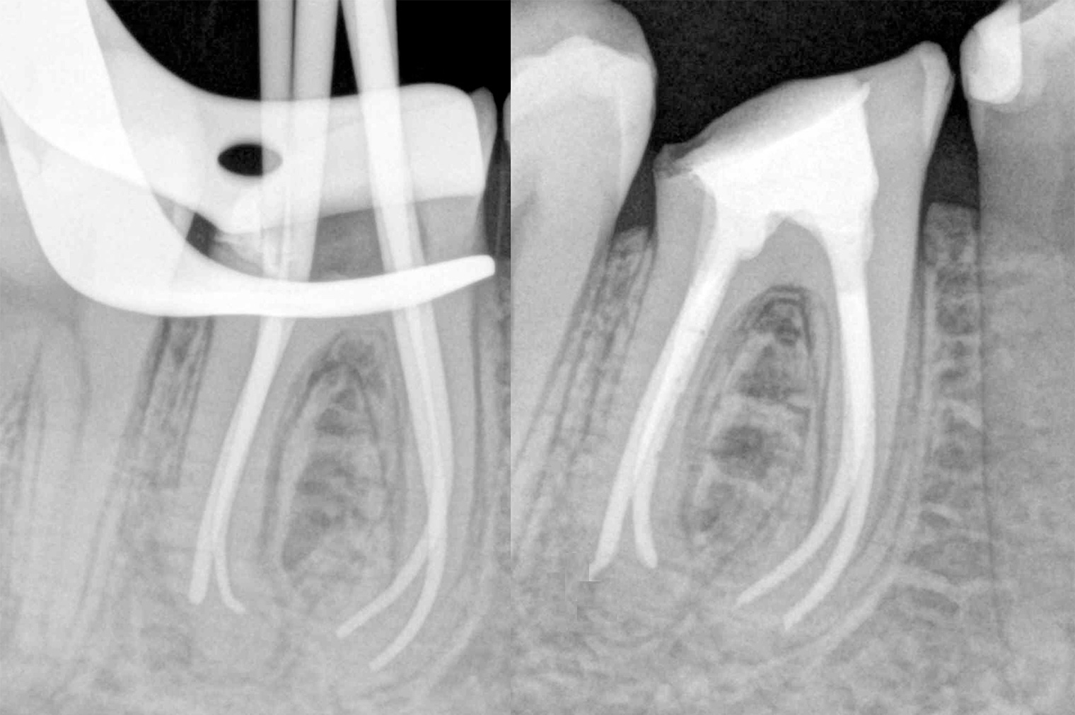
いなば歯科では歯科用CTやマイクロスコープ(歯科用顕微鏡)を使用し「出来るだけ自分の歯を残していく治療」を行っております。

自分の歯で食べ続けたい

自分の歯を残したいのに抜くと言われた

歯の根の治療をしているがなかなか治らない

きちんとブラッシングしているのに歯肉がはれる

疲れた時に歯肉がはれる

できるのであれば神経を抜きたくない

インプラント治療を考えている

など、歯でお悩みの方はご相談下さい。
出来るだけ歯を残していく治療は保険診療では出来ない精度の高い治療を行いますので保険適用外の治療となります事、あらかじめご了承下さい。

診療について


クリニックのご紹介

当院からのお知らせ

2019/11/01
いなば歯科 歯を出来るだけ残す治療ホームページを開設いたしました。NEW